- 联系:董经理
- 手机:135-2506-9160
- 电话:0373-3591186
- 网址:http://liaoning.yulinedu.com/
- 地址:河南省新乡市红旗区工业园区道清路8号
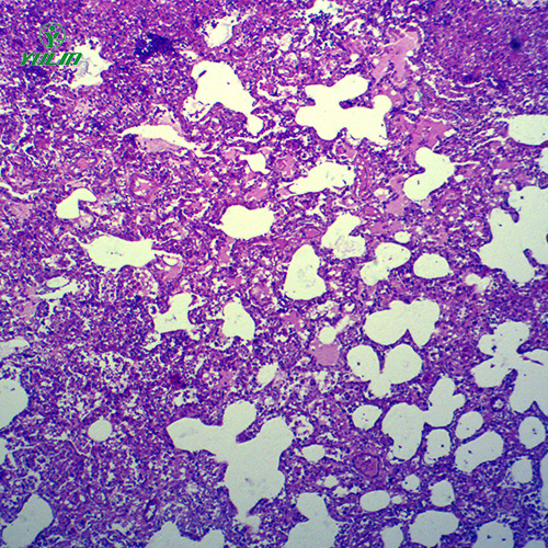
辽宁动物切片是否能成为了解动物微观结构的助力?
来源:http://liaoning.yulinedu.com/news1127779.html发布时间:2025-11-29
辽宁动物切片是生物教学中用于观察动物微观结构的重要材料,通过对动物组织或器官进行处理,制作成薄而透明的切片,方便借助辽宁显微镜观察动物细胞、组织的形态与结构,广泛应用于中小学动物学教学、高校动物解剖学与组织胚胎学实验课程。常见的动物切片包括动物细胞切片(如人体口腔上皮细胞切片、蛙卵细胞切片)、动物组织切片(如肌肉组织切片、神经组织切片、上皮组织切片)、动物器官切片(如肝脏切片、肾脏切片、心脏切片),帮助学生从微观层面认识动物的结构组成与生理功能。

动物切片的制作需结合动物组织的特性进行优化。针对不同类型的动物组织,采用适配的处理工艺,如肌肉组织(纤维结构密集)需在切片前进行充分的软化处理,确保切片均匀;神经组织(结构脆弱)需采用更精细的切片工具,避免切片过程中出现结构破损。染色环节会根据组织特点选择染料,如观察细胞核与细胞质的关系常用苏木精 - 伊红染色法(细胞核呈蓝色,细胞质呈粉红色),观察脂肪组织常用苏丹染液(脂肪颗粒呈橘红色),通过染色清晰区分不同细胞结构与组织成分。同时,动物切片的保存需注意环境温度与湿度,避免高温、高湿环境导致切片变质或染色褪色。
使用动物切片开展教学时,可结合教学目标设计观察任务。例如在讲解动物组织类型时,让学生通过观察肌肉组织切片(区分骨骼肌、平滑肌、心肌的纤维形态差异)、上皮组织切片(观察上皮细胞的排列方式),理解不同组织的结构与功能适配性;在讲解器官结构时,让学生通过观察肝脏切片(识别肝细胞、肝血窦的结构)、肾脏切片(观察肾小球、肾小管的形态),了解器官的微观组成与生理功能。观察过程中引导学生做好观察记录,绘制切片中的细胞或组织形态,加深对动物微观结构的理解与记忆。使用后的动物切片按照规范进行清洁与保存,确保切片可重复使用,为后续教学提供持续支持,助力动物学教学的实践开展。
- 标本模型—可拆解的生物结构教学工具2025-12-22
- 辽宁生物标本定格生物的自然形态2025-12-15
- 辽宁生物切片让微观生物结构直观可见2025-12-06
- 辽宁植物玻片如何成为生物教学中观察植物微观结构的常用载体?2025-11-22







豫公网安备 41070202000176号